时间:2021-04-25 00:00:00 来源:搜狐
随着社会进步和健康意识提高,体检越来越普遍。同时医学也在进步,现在大部分的体检,都把最重要的一个项目包含进去了—肺部CT检查。

我们的肺虽然在胸腔内,但实际与外界接触的面积相当大。每时每刻的呼吸,总会带入一些有害气体、粉尘、微小颗粒、细菌、病毒(当然吸烟更厉害,燃烧完全和不完全的气体、颗粒直接无稀释的灌入呼吸道)。人生几十年下来,肺经受的污染可想而知。
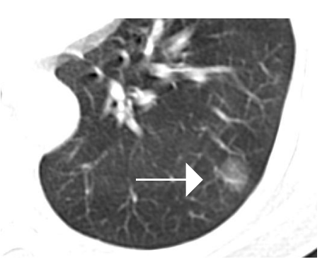
我们的肺也有强大的抵抗力,大部分时候,一点轻微的感染,不知不觉毫无症状或者只是咳嗽几天就好了,这时候,可能就会在肺里留下了一个疤痕。体检CT报告:肺里出现了结节!
发现肺部磨玻璃结节怎么办?
医学影像科主任宋黎涛表示,首次肺部CT发现磨玻璃结节,包括部分实性磨玻璃结节,需要3个月复查一次CT,如果是炎症,病灶会吸收,体检者就不必再担惊受怕了。

3个月首次复查CT,磨玻璃结节还在,怎么办?
先来看看磨玻璃结节的前世、今生和来世的演进。
①前世:不典型腺瘤样增生(AAH),属于癌前病变,CT表现为纯磨玻璃结节,密度均匀,无肿瘤微血管。

②今生:原位腺癌(AIS),CT表现为部分实性磨玻璃结节,密度不均匀,磨玻璃背景中出现点状实性高密度影,出现肿瘤微血管。
不典型腺瘤样增生(AAH)和原位腺癌(AIS)都属于浸润前病变,无特别约定,保险公司不理赔,≤1cm的0期原位腺癌手术切除后5年生存率100%。
③来世1:微浸润腺癌(MIA),CT表现为部分实性磨玻璃结节,密度不均匀,磨玻璃背景中出现点状实性高密度影,实性部分直径<5mm,较AIS密度增高,肿瘤微血管较AIS增粗、增多、边缘不规则,可出现胸膜凹陷征。

④来世2:浸润性腺癌(IAC),CT表现为部分实性磨玻璃结节,密度不均匀,磨玻璃背景中出现结节状实性高密度影,实性部分直径≥5mm,较MIA密度增高,肿瘤微血管较MIA增粗、增多、边缘不规则,出现胸膜凹陷征。

3个月首次复查CT,磨玻璃结节还在,就需要对号入座
①如果是纯磨玻璃结节,考虑不典型腺瘤样增生(AAH),需要6—12个月CT随访复查,随访过程中出现“四增”就需要考虑手术了,“四增”包括增大、增密、增强和增粗。
②如果是部分实性磨玻璃结节,考虑原位腺癌(AIS),可以选择手术,如果各种原因暂时不能耐受手术者,可以6—9个月CT随访复查,随访过程中出现“四增”就需要考虑手术了。
③如果是部分实性磨玻璃结节,考虑微浸润腺癌(MIA)和浸润性腺癌(IAC)就需要考虑手术了。
胸外科主任叶亮说,医院胸外科可以提供肺结节全面的解决方案,从影像学资料的判读,到肺结节的随访。如果真的要手术,也不必害怕,胸腔镜微创手术就能完成,对于早期的肺部肿瘤,复发率低,远期疗效好。
使用三维CT成像技术,免除了术前的穿刺定位,减少了疼痛、恐惧和气胸、血胸等穿刺的并发症。微创手术的优势是:无出血、无漏气、基本无痛。

此外,医院的呼吸内科也有好办法:
七院呼吸内科如何来解“结”?
由于肺结节表现常多样性,部分良、恶性结节表现相似,加上个体化差异等因素,要准确分清良、恶性具有一定难度。此外由于早期肺恶性肿瘤可表现为肺结节,这也使得相当一部分患者在查出肺结节后产生恐慌。是否会癌变?需不需要手术治疗?对于一些可疑小结节,不同医生给出的诊治策略也往往存在差异,小结节问题常常成了困扰患者的心病。
呼吸内科主任戈霞晖表示,我院呼吸内科肺结节诊治采用多学科诊疗模式:呼吸内科开设了肺结节专病门诊,可对高危结节采点血就可进行肺癌早筛项目筛选,并行肺CT检查,放射科专家采用AI技术和专业读片能力与呼吸科医生共同初步判断结节性质,并运用中医的整体辨证论治方法为您开具中药内服消“结”,并判断是否住院。
如住院后,呼吸科医生采用经皮肺穿或气管镜导航技术取标本,送病理科明确病理及分子诊断,行相关检查进行综合评估,多学科讨论最优治疗方案,减少不必要的检查和避免过度治疗造成的医源性伤害及医疗资源的浪费,为您提供最优便捷的诊疗模式。
总之,发现肺结节不要慌,上海第七人民医院肺结节专家团队强强联手来帮忙,即便要手术,也会安全、有效和舒适,我们用优质的医疗技术和最诚挚的服务,维护病友的安全、健康!
本文供稿/任梦丽
执行主编/尹学兵
值班编辑/星 炫
特别声明:本文来源于网络,请核实广告和内容真实性,谨慎使用,本站和本人不承担由此产生的一切法律后果!如有侵权、违规,可直接反馈本站,我们将会作删除处理。