时间:2021-12-23 00:00:00 来源:搜狐
“医生,我属于哪一期的?转移了吗?看得好吗?”这是罹患胃癌的患者问我们医生最多的一句话。
“我这是早期还是晚期?”我平时给患者做好胃镜检查后,患者常常这样问我。
那么,如果得了胃癌,我们怎么判断胃癌的分期?单靠一个胃镜检查是不能判断早晚期的,先来说说关于胃癌肿瘤的三个方面:1、肿瘤深度2、淋巴结3、远处转移。
深度就是肿瘤的根长到了胃壁的哪一层,胃镜是看不出肿瘤的深度的,胃镜只能看到肿瘤表面,在做胃镜的时候,通过专用器械取出一点组织做活检以明确性质,也就是定性。
我们知道恶性肿瘤的生长特点就是浸润性生长,就像一棵树一样,向胃壁的深部树根样生长,早期的胃癌仅仅生长在胃壁的最表面一层,我们叫做“粘膜层”,在这层里的肿瘤没有转移途径,所以几乎不发生转移,无论手术或者内镜切除后预后都非常好。

因为胃粘膜下面有很多的淋巴管和微血管,肿瘤一旦侵入到胃壁深层就有通过淋巴或血管途径转移的可能,长得越深转移的概率就越高。恶性肿瘤的这种树根式的生长方式也是区别于大多数良性肿瘤的特质。
另外就是淋巴结转移的数量,这个很好理解,转移的淋巴结数量越多,分期越晚,相对的预后也就更差。
手术医生一般都会通过CT或超声胃镜在术前判断淋巴结的肿大情况,不过那都是初步的推断,以决定是否先进行手术,还是先放化疗。
对于肿瘤侵犯的深度和淋巴结转移的数量的精确判断还是需要以术后的病理报告为金标准。
最后是远处转移,这里的远处转移我们一般指远离胃的肝、肺、骨或腹膜种植播散,这是远处转移,都属于最晚期的一类胃癌,治疗相对困难,预后也相对差很多。
我们今天要讲的是被称之为“局部晚期”的胃癌,这类患者虽然没有远处转移,但是由于肿瘤局部的浸润性生长,和周围的重要器官:比如胰腺、胆管、十二指肠;或者较大的重要血管粘连在了一起,首次手术无法完全切除或者切除风险很大。
这类患者在过去就基本宣判无法治愈了,但是现在我想告诉大家的是,随着化疗药物的更新,我们目前对这类患者的治疗策略发生了很大的进步。
上海交通大学附属第六人民医院普外科、肿瘤内科、放射科、病理科等针对局部晚期胃癌成立了多学科诊治团队。
通过放射影像等工具对每个胃癌患者进行精准的术前分期,对于不可切除的局部晚期胃癌患者由肿瘤内科先根据基因检测结果制定个体化的化疗方案,并进行三到四个周期的术前化疗,我们称之为“转化治疗”。
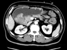
我们之前给一些这样的患者做了三个疗程的化疗之后,肿块奇迹般地缩小了,原来和周围浸润粘连的地方都退缩了,复查CT发现,原来肿瘤周围分界不清的地方都变得清晰了,
经过化疗后,我们外科医生成功地为这些患者做了根治性手术,使这些原来在其它地方“判死刑”的病人获得了更长的生存期和更高的生活质量。

转化治疗前
转化治疗后
在二十多年前,胃癌还是属于化疗不敏感的肿瘤,但随着医学的不断发展,各种新型药物临床试验的不断成功,针对不同基因不同靶向的精准化疗,或者最新的免疫治疗,都可以让胃癌患者在手术前就使肿瘤缩小,在这基础上再实施手术,提高了手术切除率,同时又降低了手术难度。
所以,夏医生在这里最强调的是——呼吁民众做好胃镜的普查工作,特别是平时有胃部不适、反酸嗳气、隐痛等表现的、有胃癌家族史的、年龄超过45 岁以上的,早点抽空到医院做一个胃镜检查。
因为很多胃癌早中期是没有任何症状的,我们要做的事情就是要早期发现它,不要等到局部晚期了,治疗起来就相对困难很多,期间的花费也会成倍增加,而且治疗效果打折。
当然,即便是相对晚期的胃癌患者也不用太绝望,通过我们胃癌多学科治疗团队精准的转化治疗,可以使很大一部分患者肿瘤退缩,降期,达到更高的手术切除率,大大提高原来的生存率。
专家简介

(文中图片由作者提供)
夏阳
外科学博士, 副主任医师。
上海交通大学附属第六人民医院普外科胃肠专业亚学科组长
中国医师协会胃食管反流病科普专业委员会委员
中国医促会胃食管反流病学分会委员
上海抗癌协会癌症预防与筛查专业委员会委员
上海CDC肿瘤外科和跨学科专业委员会委员
上海市抗癌联盟结直肠专委会委员
参与了多项国家级、省部级科研课题。团队科研成果多次获得省部级科研成果奖。以第一作者及通讯作者发表SCI文章5篇,国内核心期刊文章20余篇。
专家门诊时间:
周三下午
本文作者/夏阳
执行主编/尹学兵
值班编辑/七 七
特别声明:本文来源于网络,请核实广告和内容真实性,谨慎使用,本站和本人不承担由此产生的一切法律后果!如有侵权、违规,可直接反馈本站,我们将会作删除处理。